Real Patients, Real Results
Check out our Smile Gallery and Patient Testimonials
Kevin
Kevin had lived with a noticeable gap in his front teeth for years, and although he smiled often, he admits he felt self-conscious in photos. He wanted a smile that felt refined and confident.
To close the space and create natural-looking symmetry, we used a combination of Invisalign® to move his teeth into alignment, porcelain veneers to refine the shape, and whitening to brighten his smile. Porcelain crowns and implants restored both appearance and long-term function.
Today, Kevin smiles without thinking twice, and he finally feels like his smile matches his personality.
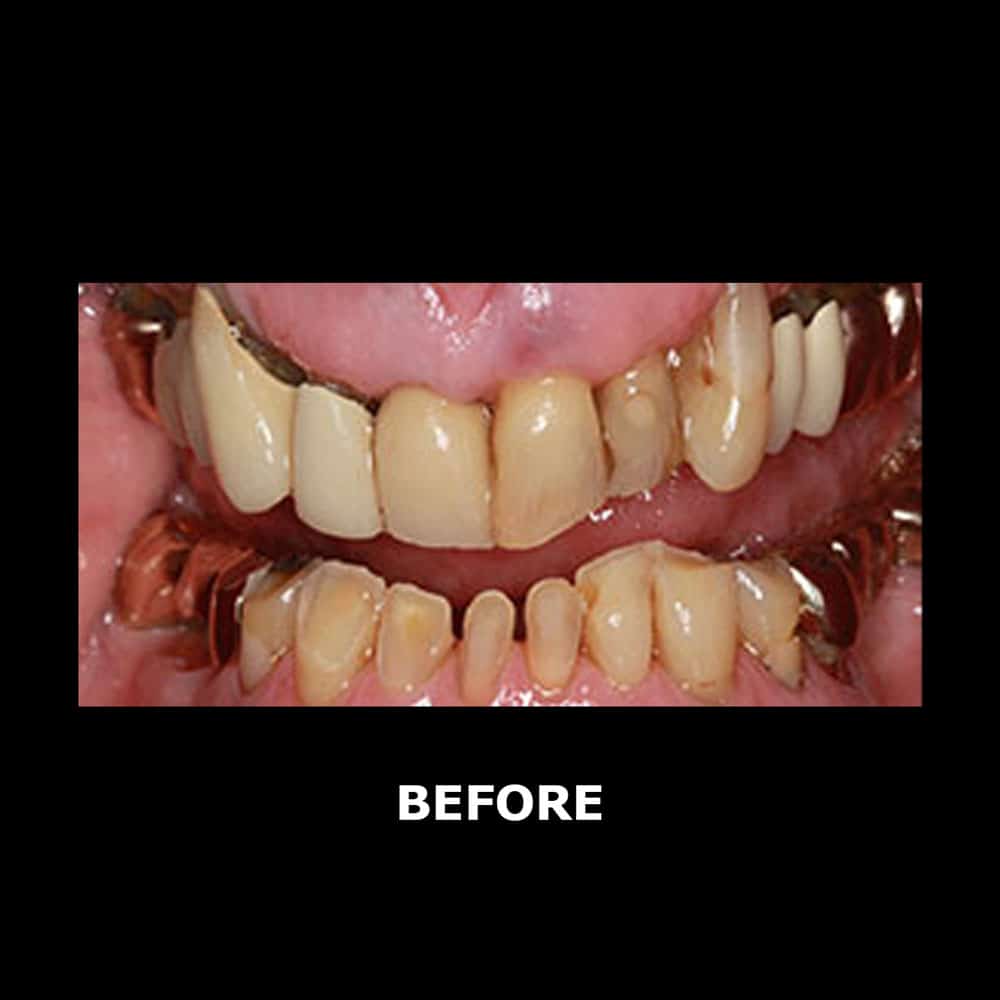
Ken
After years of trying to “just maintain” his oral health at home and in other offices, Ken came to us ready for a change. His teeth were starting to break down, and he was tired of chasing problems and patching issues. He wanted a healthy, natural smile he could count on.
After a comprehensive exam, we created a full-mouth rehabilitation plan that included extractions, new crowns and bridges, gum therapy, and dental implants to restore both strength and stability.
Ken now has a smile that looks natural and feels comfortable every day. He consistently mentions how great his teeth feel and work.
★★★★★
“I was so amazed at the results that Dr. Dan achieved. Teeth that had been deteriorating for many years, were brought back to looking like new. The professionalism at Montrose Family Dental is beyond wonderful.”
Mary
Mary came to Montrose Family Dental after working with a prosthodontist who made cosmetic changes that, while beautiful, would break down over time.
To help Mary picture her results before committing to treatment, we started with a Trial Smile — a temporary mock-up that let her see the potential shape and brightness of her new smile. Once she saw the preview, she knew she was ready to move forward.
Her personalized treatment plan included: braces to achieve proper alignment and function and improve longevity, dental implants to replace missing or non-restorable teeth, porcelain crowns and veneers to rebuild strength and shape, and professional whitening to create a bright, even foundation for her new restorations. Each step was designed to enhance both function and aesthetics, giving Mary a smile she could rely on every day.
Today, Mary’s smile is beautifully balanced, healthy, and confident. She often tells us how confident she is in the stability and aesthetics, the perfect pairing.
★★★★★
“I spent years chasing a purely aesthetic smile, until Dr. Dan showed me how transformative function-first dentistry truly is. His step-by-step approach led to beautiful dentistry that actually lasts. I couldn’t be happier with my decision!”
Matt
Matt had a clear goal when he came to our office: he wanted a natural-looking smile transformation that felt authentic. He always felt very self-conscious about his teeth and smile.
We started by addressing alignment with braces, allowing his teeth to move into an ideal position before any cosmetic work began. Once his foundation was aligned, we created a Trial Smile so Matt could preview the shape, color, and overall look of his future smile. Experiencing the mock up made him ready to pursue the result!
To complete his transformation, Matt received no-prep porcelain veneers—a conservative option that enhances the smile without removing healthy tooth structure. These veneers refined the shape and brightness of his teeth while preserving their natural integrity.
Today, Matt’s smile is straight, bright, and effortlessly natural.
★★★★★
“Not a day goes by I’m not grateful for Dr D’s dedication to giving me the best gift anyone has ever given me, my smile! Thank you!!
MFD is a 6 out of 5!“
Liz
Liz came to Montrose Family Dental wanting a smile that reflected her vibrant personality. Over time, her previous dental work had begun to wear and discolor, leaving her feeling like her smile no longer matched her confidence. She wanted a refreshed, natural look—nothing dramatic, just a brighter, more harmonious smile.
To create the foundation for her transformation, we began with professional teeth whitening, lifting years of staining and giving her a clean, even canvas to build on. From there, we used porcelain veneers to refine the shape and symmetry of her teeth, ensuring that her final smile looked polished yet completely natural.
The result is a smile that’s brighter, smoother, and beautifully balanced.
Angie
Angie’s Case Included:
Angie came to Montrose Family Dental seeking a subtle yet meaningful change to her smile. She felt that the spacing between her teeth distracted from her natural smile and wanted a brighter, more polished look without anything feeling artificial or overdone.
We started with Invisalign® to gently shift her teeth into better alignment and close the spaces, creating a more balanced, cohesive smile. Once her spacing was corrected, we completed her transformation with professional teeth whitening to enhance brightness and bring everything together.
John
John came to us with concerns about his previous cosmetic work not holding up. Restorations were fracturing, and John mentioned he never really felt like he could bite on his back teeth. While his teeth were straight and in a good position, we needed to address the bite on his back teeth to ensure new work on the front teeth held up and had some longevity. We did composite bonding on his back teeth and porcelain crowns on his six front teeth.
★★★★★
“I have always had issues with my bite. My back teeth never met properly, which caused me to grind my front teeth and eventually led to broken teeth. A previous dentist replaced my front teeth with veneers, but did not address my bite. Over time, I began chipping those veneers as well.
Dr. Dan took the time to carefully correct my bite and replace my veneers. While the veneers look amazing, what I truly appreciate is that he addressed the underlying problem. For the first time in my life, I have a balanced bite and real relief from years of discomfort.”
